Acute Cellular Rejection - Grade 1R
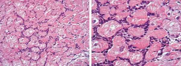
This paraffin section of an endomyoardial biopsy shows a more diffuse infiltrate of mononuclear cells which surrounds individual myocytes and forms a "chicken wire" pattern of infiltration in the myocardium. This type of infiltrate was called a 1B pattern in the old working formulation. But, in the current classification it is part of the spectrum of lesions in Grade 1R rejection. H&E stains.
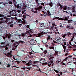
At higher magnification , sometimes is easy to see vacuolization of the sarcoplasm of the myocytes as shown in this field. H&E stain.

